Stephanie Rosentreter
Stephanie Rosentreter serves on the AdventHealth Shawnee Mission leadership team as the Chief Financial Officer.
Stephanie Rosentreter serves on the AdventHealth Shawnee Mission leadership team as the Chief Financial Officer.
Learn how our Comprehensive Women's Program cares for women at every stage of life.
Bela Nand, MD, serves on our AdventHealth Shawnee Mission leadership team as the Regional Chief Medical Officer for AdventHealth Shawnee Mission.
Transcatheter aortic valve replacement (TAVR) is a procedure to replace the aortic valve that has become narrowed and is unable to open fully, without open heart surgery.
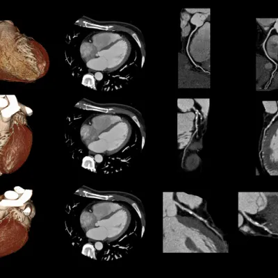
A mapping cardiac CT, sometimes abbreviated as a coronary CT is a non-invasive imaging test that uses x-rays to create images of the heart, which is then used to help guide our cardiac clinical...
Learn more about SPECT (single photon emission Computerized Tomography), a type of scan that uses an intravenous nuclear tracer to image the heart.
A transesophageal echocardiogram, sometimes abbreviated as a TEE is a specialized ultrasound of the heart.
A coronary computed tomography (CT) angiogram, sometimes abbreviated as a coronary CT is non-invasive imaging test that uses x-rays to create images of the heart including the coronary arteries.
A cardiac magnetic resonance image (MRI), sometimes abbreviated as CMR, is a non-invasive imaging test that uses magnetic fields and radio waves to create images of the heart.
Special Pediatric-to-Adult Need (SPAN) is a primary care program for adults with special needs, including Down syndrome, cerebral palsy, autism and genetic and developmental disorders.
Our website uses cookies. Please review our privacy policy to find out more about the cookies we use. Browsing our website means you accept these terms.